Media Category: Pathology Slide Images
Direct Examination – dermatophyte invasion – Mycology
Culture – Aspergillus flavus 2 – Mycology
Mold colonies – Cokeromycers recurvatus – Mycology
Mold – Cokeromyces recuvatus – Mycology
Yeast – Cokeromyces recurvatus – Mycology
Aspergillus nidulans – Mycology
Diffuse large B-cell lymphoma – Hematopathology slide, Cleveland Clinic Laboratories
Soft Tissue Pathology slide image
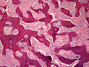
Soft Tissue & Bone Pathology slide image – Cleveland Clinic Laboratories
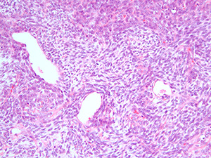
Synovial sarcoma – soft tissue
Soft Tissue & Bone Pathology slide image – Cleveland Clinic Laboratories










