Soft Tissue & Bone Pathology slide image – Cleveland Clinic Laboratories
Media Category: Pathology Slide Images
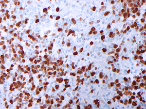
Epithelioid malignant peripheral nerve sheath tumor – soft tissue
Soft Tissue & Bone Pathology slide image – Cleveland Clinic Laboratories
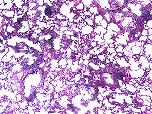
Usual interstitial pneumonia
Pulmonary/Lung Pathology slide image – Cleveland Clinic Laboratories
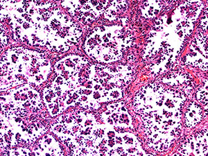
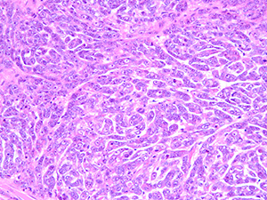
Micropapillary lung adenocarcinoma
Pulmonary/Lung Pathology slide image – Cleveland Clinic Laboratories
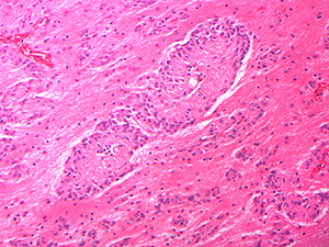
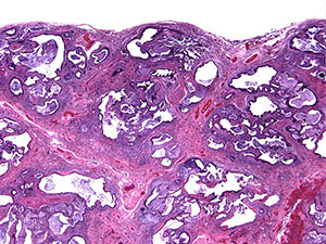
Plexigenic lesion going to vasodilation
Pulmonary/Lung Pathology slide image – Cleveland Clinic Laboratories
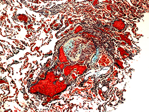
Pulmonary Pathology slide image – 1
Pulmonary/Lung Pathology slide image – Cleveland Clinic Laboratories
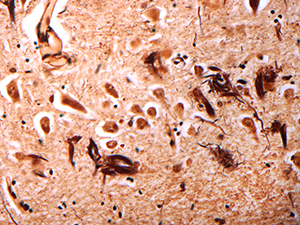
Neuropathology slide image
Neuropathology slide image – Cleveland Clinic Laboratories
Neuropathology slide image
Neuropathology slide image – Cleveland Clinic Laboratories
Neuropathology slide image
Neuropathology slide image – Cleveland Clinic Laboratories
Neuropathology slide image
Neuropathology slide image – Cleveland Clinic Laboratories










