Hematopathology Slide – Cleveland Clinic Laboratories
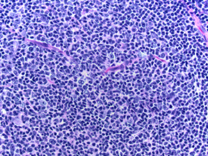
Media Category: Pathology Slide Images
Non-Hodgkin Lymphoma DLBCL 40x
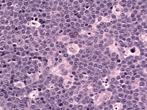
Hematopathology Slide – Cleveland Clinic Laboratories
Non-Hodgkin Lymphoma 40x HE 3
Hematopathology Slide – Cleveland Clinic Laboratories
Myeloproliferative neoplasm ASP 50x b comp
Hematopathology Slide – Cleveland Clinic Laboratories
Myeloproliferative neoplasm BM WG 50x 8
Hematopathology Slide – Cleveland Clinic Laboratories
Myeloproliferative neoplasm BX HE 20x 4
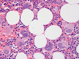
Hematopathology Slide – Cleveland Clinic Laboratories
Myeloproliferative neoplasm with megakaryocytes
Hematopathology Slide – Cleveland Clinic Laboratories
Myeloproliferative neoplasm BM BX 40x 6
Hematopathology Slide – Cleveland Clinic Laboratories
Acute Lymphoblastic Leukemia PB 100x b comp
Hematopathology Slide – Cleveland Clinic Laboratories
Myelodysplastic Syndrome dysmeg1
Hematopathology Slide – Cleveland Clinic Laboratories










