Hematopathology Slide – Cleveland Clinic Laboratories
Media Category: Pathology Slide Images
Myelodysplastic Syndrome dyse4
Hematopathology Slide – Cleveland Clinic Laboratories
Myelodysplastic Syndrome 5q-2
Hematopathology Slide – Cleveland Clinic Laboratories
Myelodysplastic Syndrome blasts3
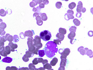
Hematopathology Slide – Cleveland Clinic Laboratories
Chronic Lymphocytic Leukemia pb2
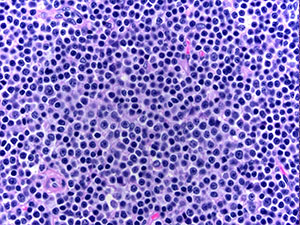
Hematopathology Slide – Cleveland Clinic Laboratories
Chronic Lymphocytic Leukemia hne10x
Hematopathology Slide – Cleveland Clinic Laboratories
Chronic Lymphocytic Leukemia hne60x
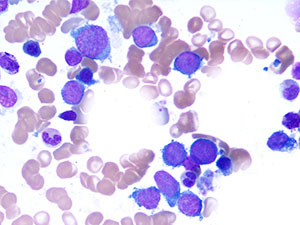
Hematopathology Slide – Cleveland Clinic Laboratories
Acute Myeloid Leukemia bmasp2
Hematopathology Slide – Cleveland Clinic Laboratories
Acute Myeloid Leukemia t(8;21) with eosinophilia
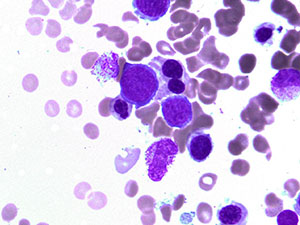
Hematopathology Slide – Cleveland Clinic Laboratories
Acute Myeloid Leukemia blast auer2
Hematopathology Slide – Cleveland Clinic Laboratories










